疲労骨折について

当院の考え 疲労骨折について

「疲労骨折」と言われて安静にしている方へ

「疲労骨折だから、2〜3ヶ月は安静にしてください」

そう言われて、大好きなスポーツを我慢している方は少なくありません。

しかし、その診断や説明には、大きな誤解が含まれている可能性があります。

疲労骨折と呼ばれている痛みの正体と、本当に必要な対応について整理します。

一般的にいわれている疲労骨折とは

一般的には、疲労骨折とは一度の大きな衝撃ではなく、弱い力が同じ部位に繰り返し加わることで起こる骨折と説明されています。

骨に小さなヒビが入り、それが痛みの原因になるとされています。

好発部位としては、

  • 足の甲の中足骨
  • すねの脛骨・腓骨
  • 肋骨
  • 腰椎

など、スポーツで負担のかかりやすい部位が挙げられます。

ただし、激しい腫れや出血、我慢できないほどの強い痛みが出ることは少なく、捻挫と間違われるケースも珍しくありません。

また、ヒビが非常に小さいとされているため、レントゲンには写りにくく、診断が難しいとも言われています。

一般的にいわれている治療方法

整形外科などでは、疲労骨折と診断されると次のような説明を受けることが多くあります。

  • 原因となったスポーツは禁止
  • 期間はおおよそ2〜3ヶ月
  • ギプス固定は基本的に行わない
  • 痛みが消え、画像で問題がなければ復帰

また、

「完治前に運動を続けると、完全な骨折になる」

「再発する可能性が高い」

といった説明を受け、不安を感じる方も多いと思います。

疲労骨折という診断の実際

ここで、非常に重要な事実があります。

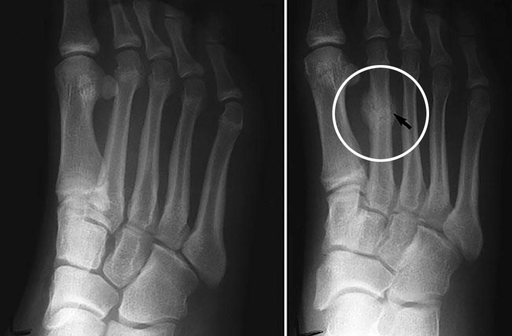
画像引用元:疲労骨折について | みどり整骨院

そもそも、「疲労骨折」という骨折は存在しません。

もし本当に骨にヒビが入っていれば、

「○○骨のヒビ」「○○骨骨折」

という診断になります。

しかし、疲労骨折と診断されるケースの多くでは、レントゲンに骨折やヒビは写っていません。

患部付近に白くぼやけた影が見えることがありますが、これはカルシウム質が写っているだけで、骨折ではありません。

つまり、

はっきりした骨折所見がない痛みに対して、理由づけとして「疲労骨折」という名前が使われているのが実情です。

本当の原因と当院の施術

当院には、整形外科で疲労骨折と診断された方が数多く来院されます。

もし本当に骨が折れているのであれば、

手術で骨をつなぐか、数ヶ月かけて自然にくっつくのを待つしかありません。

しかし当院では、疲労骨折といわれた痛みを、最短一回から数回の施術で改善、完治させています。

なぜそれが可能なのか。

理由は明確です。

痛みの原因が、骨ではないからです。

疲労骨折と診断された痛みの正体は、

  • 筋膜の強い張り
  • 筋肉の付着部の異常
  • 骨膜の厚みや緊張

といった、骨の周囲の組織の問題です。

これらに対して的確に施術を行うことで、長期の安静を取らなくても痛みは改善、完治します。

よくある間違いと勘違い

「運動を続けると完全に骨が折れる」

そのような話を聞いたことがあるかもしれません。

しかし、疲労骨折が本当の骨折に移行したという話は、現実にはほとんどありません。

「再発しやすい」

これも、完治していない状態で復帰しているだけです。

原因をきちんと施術で取り除けば、再発は防げます。

「トレーニング内容を変えなければならない」

当院では、通院しながら今まで通りスポーツを続けていただいています。

まとめ

疲労骨折と呼ばれている痛みの多くは、骨折ではありません。

そのため、長期間の安静を取っても根本的な改善にはつながりません。

本当の原因は、骨の周囲にある筋肉や筋膜の問題です。

そこに対して施術を行えば、疲労骨折と診断された痛みは改善、完治します。

「疲労骨折だから仕方ない」と諦める前に、

今の治療方針が本当に合っているのか、一度立ち止まって考えることが大切です。

現在の対応に疑問を感じている方は、セカンドオピニオンをおすすめします。

関連記事

カテゴリー
アーカイブ